Zwei Diabologeschosse im Körper einer Katze
Trillerpfeife aus Metall im Darm eines Schäferhundes
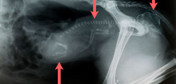
Älterer Hund mit massiver Spondylose 4. Grades mit Brückenbildung
Schrotkugeln im Kopf eines Jagdhundes
Mehrfachfrakturen nach Autounfall mit Lähmung der Hinterextremitäten, Hund
Neubildungen am Knochen, Hund
Knochenkot im Magen und Darm eines Hundes nach Grillparty
Katze mit Nadel in der Speiseröhre
Erstgebärender Hund mit einzelner übergroßer Frucht, Welpe steckt im Geburtskanal
Harnsteine mit Harnblase und Harnröhre (Katheter stößt auf die Steine)
Tumoren in Brust-und Bauchraum (Metastasierung weit fortgeschritten)
Kontrastmittelaufnahme des Magen-Darm-Traktes
Massive Herzvergrößerung (Altersherz)
Unser ältester Patient
Röntgenaufnahme einer afrikanischen Götter-Statue 3. - 2. Jh. v. Ch.
Flyer Götter-Statue, Infos zum ältesten Patienten.
Zum Vergrößern »hier klicken.
<
15 - 15
>
Tierarztpraxis · Dr. med. vet. Anita Gräfe · Esmarchstraße 26 · 10407 Berlin · Telefon 421 36 30 · » Datenschutzerklärung